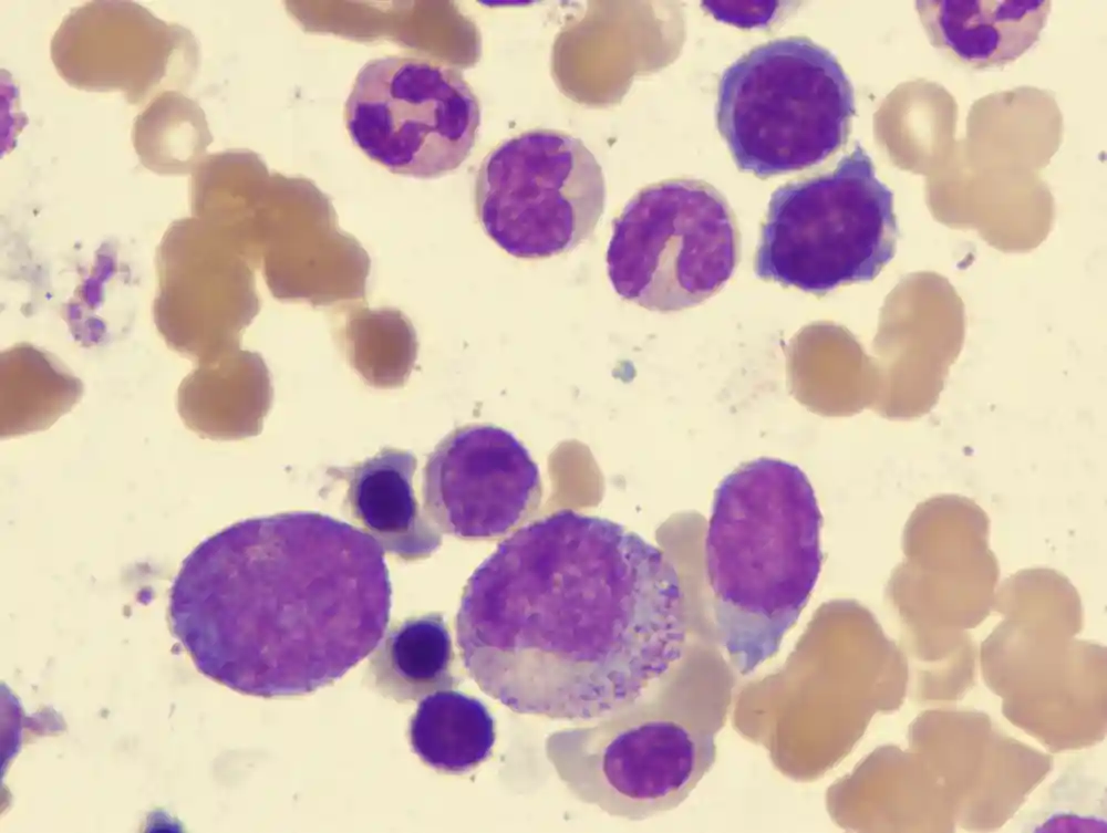
Juvenile myelomonocytic leukemia (JMML)

It is a relatively uncommon type of blood cancer featuring a rapid progression and typically displaying characteristics of a mixed myeloproliferative and myelodysplastic disease. The onset of juvenile myelomonocytic leukemia is around 6 years old and in younger children. It can be diagnosed in infants, too, and it is more common in males.